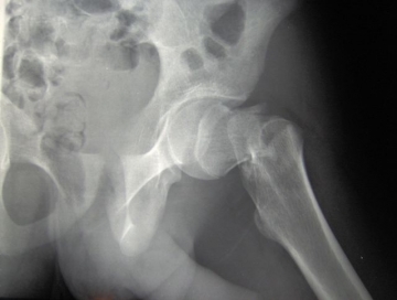
Najczęstszymi powodami wymiany stawu/stawów biodrowych są: bardzo poważne uszkodzenia kości budujących staw (np. bardzo częste złamanie szyjki kości udowej czy złamanie okolicy krętarza), zmiany zwyrodnieniowe stawów biodrowych i reumatoidalne Czytaj dalej









